水产动物病害与免疫学研究室以鳗弧菌为研究对象,探究了VAA DNA疫苗免疫牙鲆后,疫苗引起的注射部位的局部免疫应答。成果于2021年03月08日发表在领域著名刊物Molecular Immunology上(//doi.org/10.1016/j.molimm.2021.03.012,IF=4.407)。
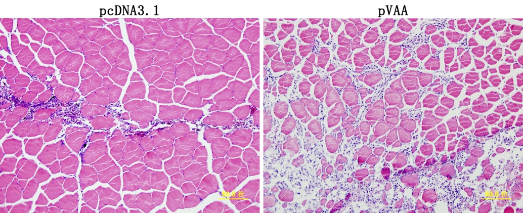
DNA疫苗的保护效果与其抗原的表达和局部免疫反应的强度密切相关。实验室前期研究中,已经证明了表达鳗弧菌VAA蛋白的重组DNA质粒(pVAA)对牙鲆抵抗鳗弧菌的感染有良好的保护作用。在本研究中,从细胞和基因水平上探究了pVAA免疫牙鲆后,注射部位发生的局部免疫反应。结果显示,与对照组相比,pVAA免疫组的炎症细胞及的免疫细胞,包括CD4-1+和CD4-2+T淋巴细胞,都被招募到注射部位;流式细胞术结果表明,与对照组相比,免疫组中CD4+T淋巴细胞的比例明显增加,pVAA免疫组的CD4-1+细胞比例为28.6%,对照组为8.7%,两组的CD4-2+比例分别为21.2%和8.5%。此外,转录组分析结果显示参与信号转导和免疫系统的基因,以及B细胞基因、T细胞和抗原呈递细胞(APC)基因的表面标志物基因均上调表达,表明全身免疫反应被激活。此外,免疫后第2周,有特异性抗体产生,并在第4-5周达到高峰。pVAA组的RPS为53.85±3.64%。以上结果证实,pVAA起初诱导了有效的局部免疫反应,继而产生了系统免疫反应。
该项研究的第一完成人为为邢婧教授,第二完成人为2021级博士研究生姜晓宇,通讯作者为战文斌教授。该研究得到国家重点研发计划(2018YFD0900503)、山东省自然科学基金重点项目(ZR2020KC025)、中央高校基本科研业务费专项资金(202061020; 201822015)等项目的联合支持。

图1. DNA疫苗免疫牙鲆后免疫细胞在注射部位肌肉组织处募集

图2. DNA疫苗免疫牙鲆后CD4+T淋巴细胞在注射部位肌肉组织处募集